السّلام عليكم و رحمة الله و بركاته
صور الهيستولوجي
[one_whole boxed=”true” centered_text=”true” animation=”Grow In” delay=””]
نـضع بين ايديكم صور المايكروسكوبات الخاصة بلاب الهيستولوجي :
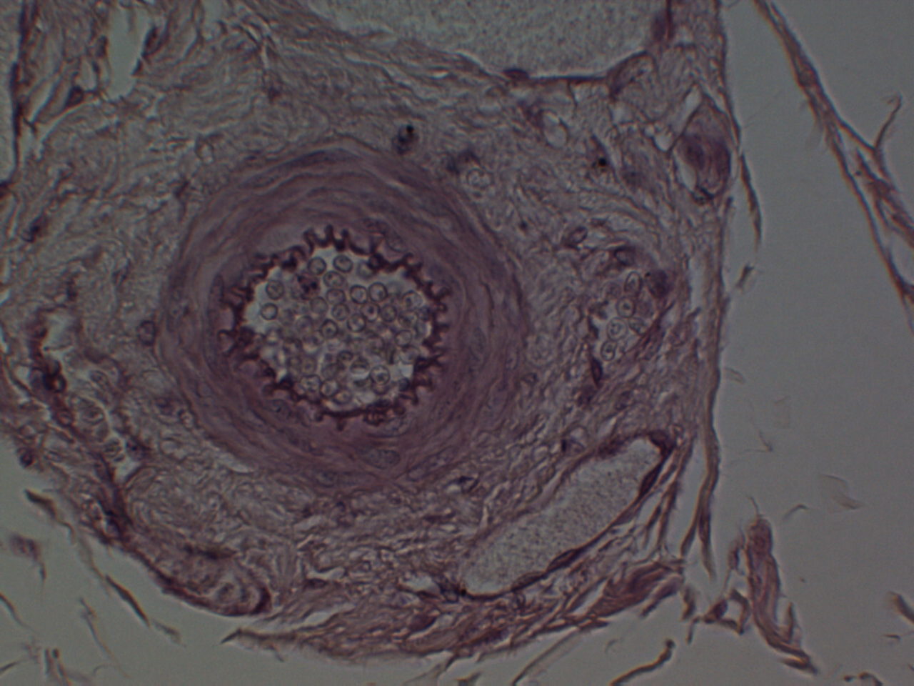
Arteriole 1
[divider line_type=”Small Line” custom_height=””]
Arterioles 2
[divider line_type=”Small Line” custom_height=””]
Arterioles 3
[divider line_type=”Small Line” custom_height=””]
Cardiac Muscle
[divider line_type=”Small Line” custom_height=””]
Elastic 1
[divider line_type=”Small Line” custom_height=””]
Elastic 2
[divider line_type=”Small Line” custom_height=””]
Muscular artery 1
[divider line_type=”Small Line” custom_height=””]
Muscular artery 2
[divider line_type=”Small Line” custom_height=””]
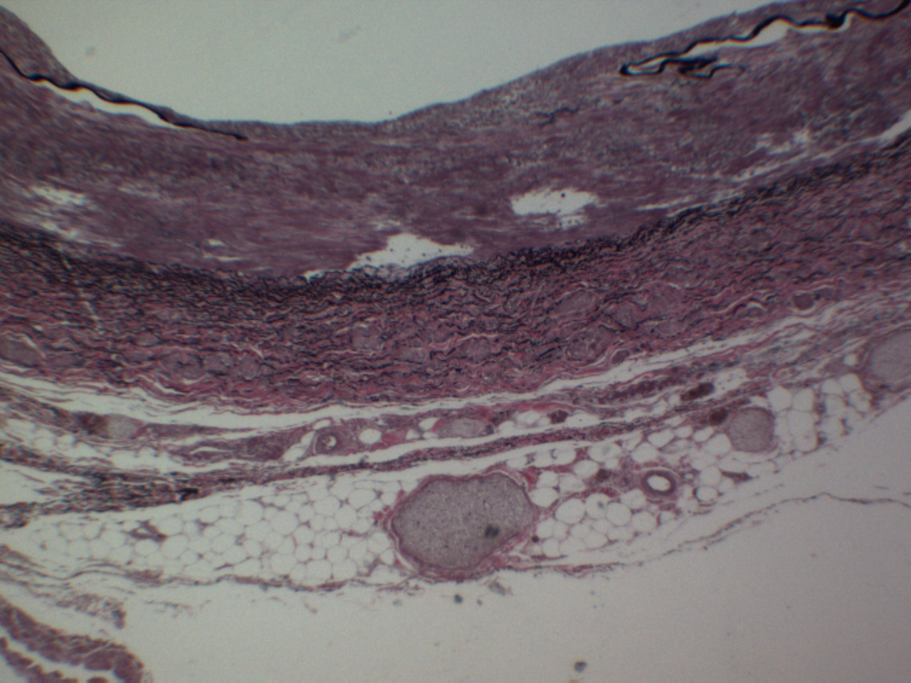
Vasa
[divider line_type=”Small Line” custom_height=””]
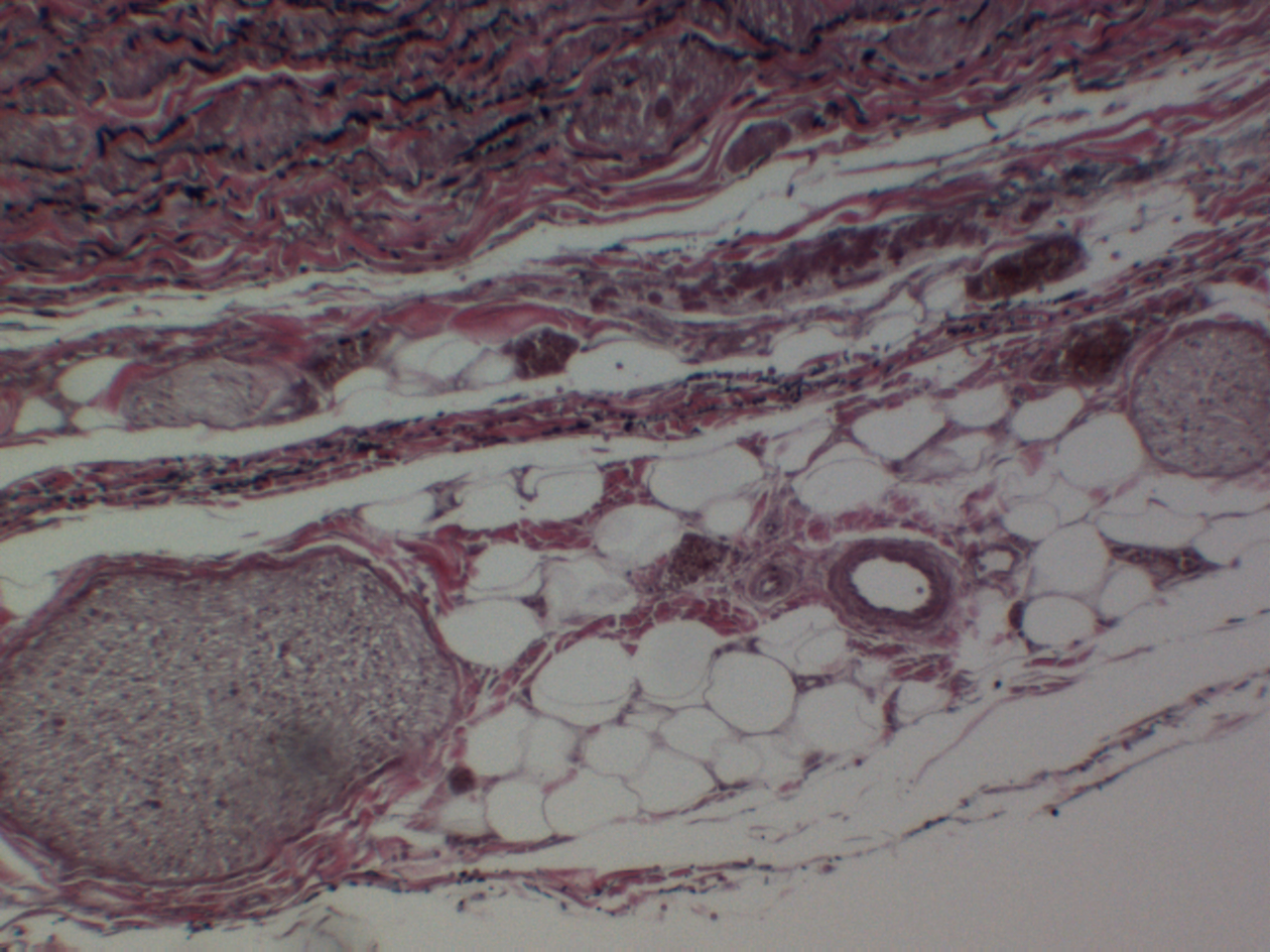
Vein
[/one_whole]










1 COMMENT
[…] http://archive.humsc.net/healing/?p=1734 […]